CAS CLINIQUES

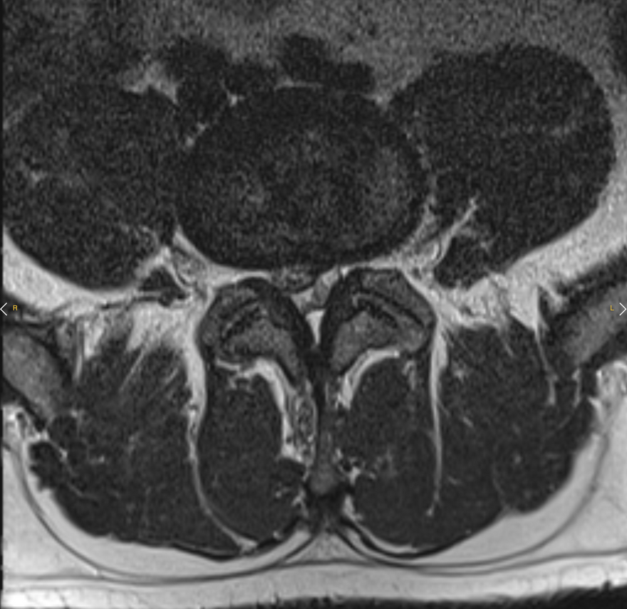
Cas clinique 1

Diagnostic

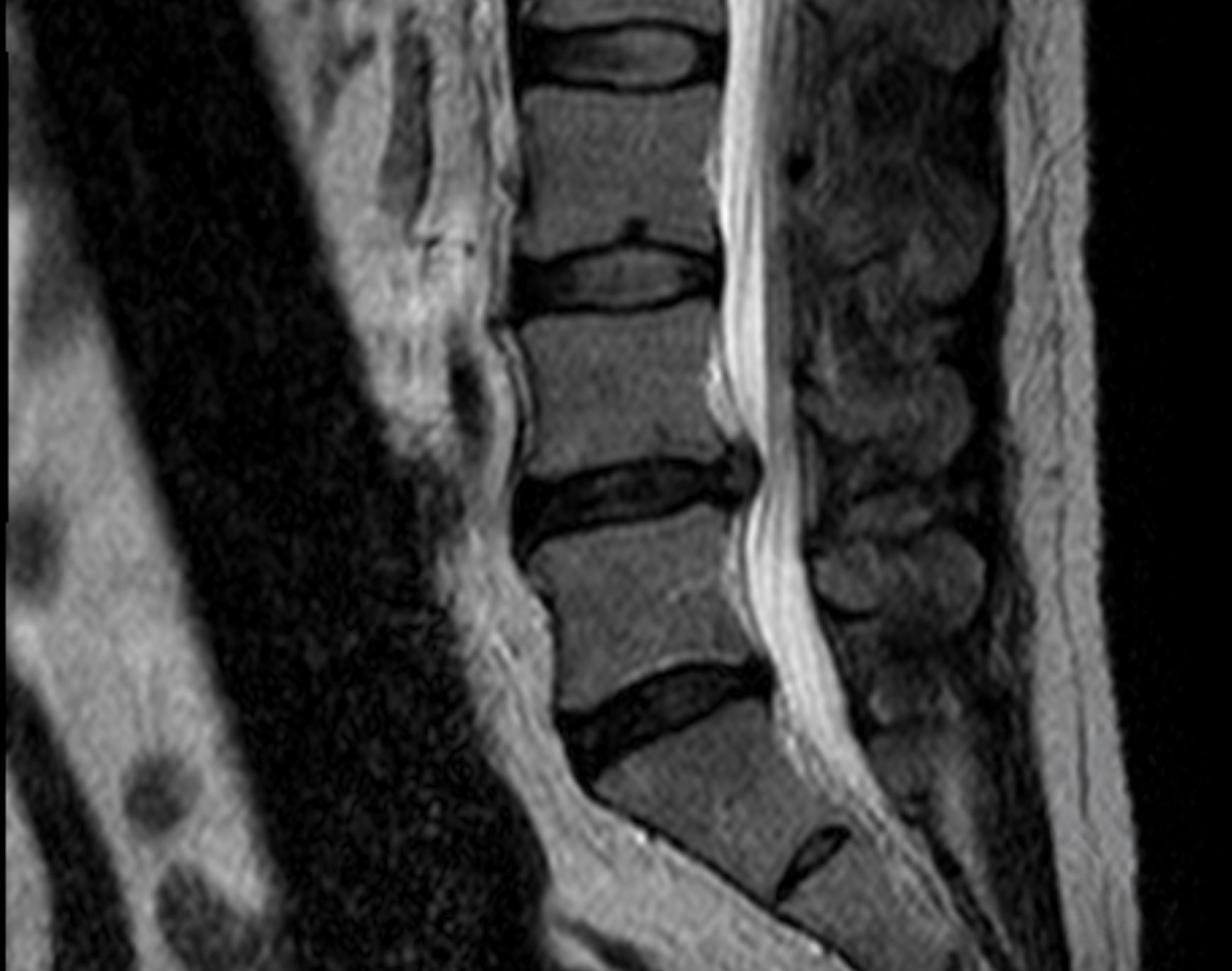
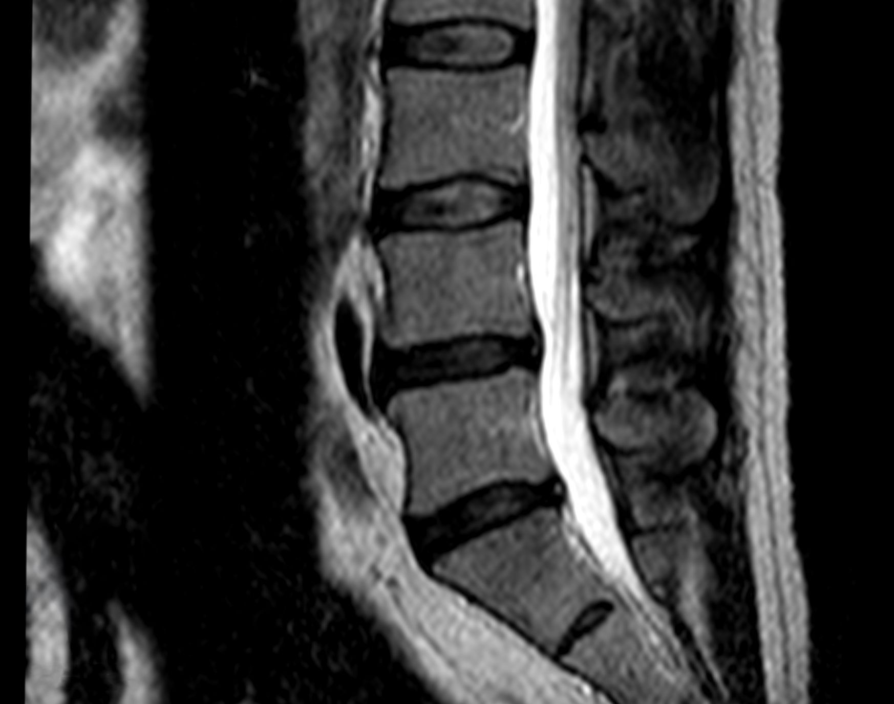
Patiente de 32 ans. Symptômes : Lombosciatique bilatérale invalidante, associée à des paresthésies et à une légère sensation de faiblesse musculaire lors de la dorsiflexion des pieds. Diagnostic : Hernie discale L5-S1 importante.

Cas clinique 2

Diagnostic

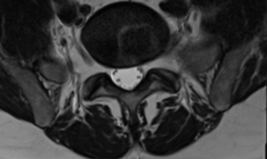
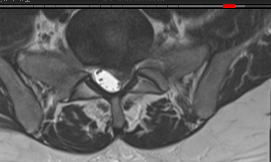
Patient de sexe masculin, âgé de 68 ans. Symptômes : Douleur lombaire gauche intense et invalidante ; le patient présente des difficultés de mouvement et de marche. Diagnostic : Hernie discale postéro-latérale gauche en L4-L5.

Cas clinique 3

Diagnostic

Bonjour, je suis.

Cas clinique 4

Diagnostic

Bonjour, je suis.